才径谷 > 职业技能类 > 医院三基考试 > 试题详情
[单选题]

病人女性,35岁,反复浮肿3年,BP21/13KPa,Hb80g/L,尿蛋白(),镜检RBC2—4/Hp,BUN10mmol/L。该病人哪种疾病可能性大()

A.慢性肾盂肾炎

B.隐匿性肾炎

C.慢性肾炎

D.肾病综合征

E.高血压肾小动脉硬化

热门关键词: 肾盂肾炎   慢性肾炎  
答案
查看答案
更多相关内容推荐
第1题:

关于慢性肾盂肾炎的描述下列哪项不正确()

A、肾盂肾炎病史超过一年可诊断为慢性肾盂肾炎

B、无症状性菌尿亦需及时系统治疗

C、容易再次复发

D、诊断慢性肾盂肾炎时,过去可无明确病史

E、判定急性期或慢性期有困难时,可作短期治疗,以利于鉴别

点击查看答案
第2题:

慢性肾盂肾炎可见较多白细胞管型,粗颗粒管型的为

A.急性肾小球肾炎

B.慢性肾小球肾炎

C.肾病综合征

D.急性肾盂肾炎

E.慢性肾盂肾炎

点击查看答案
第3题:

患者最多可能诊断(  )。

A、急性膀胱炎

B、急性肾盂肾炎

C、慢性肾盂肾炎

D、慢性肾盂肾炎急性发作

E、急性肾小球肾炎

点击查看答案
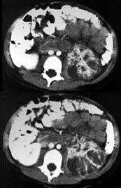
第4题:

男,5岁,有尿路感染伴急性发热,CT增强扫描如图所示,最可能的诊断是( )

A、左侧肾炎

B、左侧肾脓肿

C、左侧急性肾盂肾炎

D、左侧黄色肉芽肿性肾盂肾炎

E、左侧慢性肾盂肾炎

点击查看答案
第5题:
女性,28岁,尿急、尿频、尿痛,继而发热体温38℃,伴腰痛。尿蛋白(+),尿沉渣镜检白细胞20~30/HP,可见颗粒管型()
A.急性膀胱炎
B.急性肾盂肾炎
C.慢性肾盂肾炎急性发作
D.慢性肾盂肾炎
E.急性肾小球肾炎
点击查看答案
试题分类: 财经类 医卫类 建筑工程类 职业资格类 学历类 职业技能类 招录类 中学 其他考试
首页 搜题 免费试卷 诗词单词 用户中心