才径谷 > 职业资格类 > 资格证考试 > 试题详情
[多选题]

慢性肾盂肾炎可见较多白细胞管型,粗颗粒管型的为

A.急性肾小球肾炎

B.慢性肾小球肾炎

C.肾病综合征

D.急性肾盂肾炎

E.慢性肾盂肾炎

热门关键词: 肾盂肾炎   肾小球  
答案
查看答案
更多相关内容推荐
第1题:

女,63岁,高热、左侧腰痛伴尿频、尿痛,选择最可能诊断( )

A、左肾脓肿

B、化脓性肾盂肾炎

C、气肿性肾盂肾炎

D、慢性肾盂肾炎

E、黄色肉芽肿性肾盂肾炎

点击查看答案
第2题:

女性18岁。突然发冷、发热、腰痛、尿频、尿痛、尿急,肾区叩击痛1天,尿镜检:白细胞成堆,肾功能正常,白细胞15×109/L,中性85%。可能诊断

A.急性膀胱炎

B.急性肾盂肾炎

C.慢性肾盂肾炎

D.慢性肾盂肾炎急性发作

E.急性肾小球肾炎

点击查看答案
第3题:
女性,42岁,反复尿急、尿频、尿痛伴腰痛已十多年,偶伴高热,抗菌药物治疗有效。近日劳累,突发高热,伴尿急、尿频、尿痛()
A.急性膀胱炎
B.急性肾盂肾炎
C.慢性肾盂肾炎急性发作
D.慢性肾盂肾炎
E.急性肾小球肾炎
点击查看答案
第4题:

尿路感染患者,肾脏病理结果为肾小管间质纤维化,并有浆细胞及淋巴细胞浸润,肾小管节段萎缩,部分扩张。最可能的诊断为()

A、急性肾盂肾炎

B、慢性肾盂肾炎

C、单纯肾盂肾炎

D、肾小球肾炎

E、下尿路感染

点击查看答案
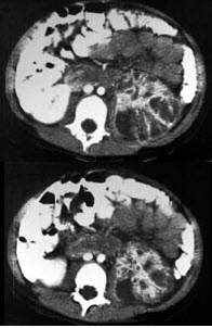
第5题:

男,5岁,有尿路感染伴急性发热,CT增强扫描如图所示,最可能诊断为( )

A、左侧肾炎

B、左侧肾脓肿

C、左侧急性肾盂肾炎

D、左侧黄色肉芽肿性肾盂肾炎

E、左侧慢性肾盂肾炎

点击查看答案
试题分类: 财经类 医卫类 建筑工程类 职业资格类 学历类 职业技能类 招录类 中学 其他考试
首页 搜题 免费试卷 诗词单词 用户中心