才径谷 > 医卫类 > 医卫其他 > 试题详情
[单选题]

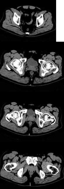
男,60岁,因双髋关节反复疼痛2年余,无明显外伤史,X线摄片如图,最可能的诊断是()

A、双髋关节退行性骨关节病

B、双髋关节创伤性关节炎

C、双髋关节特发性骨关节病

D、双髋关节结核

E、神经性关节炎

热门关键词: 髋关节   骨关节病   骨关节   关节炎  
答案
查看答案
更多相关内容推荐
第1题:

股直肌可()

A、屈髋关节

B、伸髋关节

C、髋关节内收

D、髋关节外展

E、髋关节旋内

点击查看答案
第2题:

男,56岁,左髋关节疼痛、无外伤史,左髋关节稍肿胀,结合图像,最可能的诊断是( )

A、左髋关节滑膜骨软骨瘤病

B、左髋关节退行性改变

C、左髋关节痛风

D、左髋关节滑膜炎

E、左髋关节类风湿关节炎

点击查看答案
第3题:
股骨头无菌坏死的首选体位是
A.髋关节正位
B.髋关节侧位
C.髋关节侧斜位
D.髋关节蛙形位
E.髋关节后前斜位
点击查看答案
第4题:

患者侧卧位且被测下肢在上可以测量的是()

A、髋关节内旋

B、髋关节屈伸

C、髋关节内收

D、髋关节外展

E、髋关节外旋

点击查看答案
第5题:

最可能的诊断是(  )。

A、髋关节滑膜结核

B、化脓性髋关节炎

C、髋关节骨型结核

D、全髋关节结核

E、类风湿性髋关节炎

点击查看答案
试题分类: 财经类 医卫类 建筑工程类 职业资格类 学历类 职业技能类 招录类 中学 其他考试
首页 搜题 免费试卷 诗词单词 用户中心