骨关节病
(单选题)关于退行性骨关节病下列不正确的是()
A常见于承重的大关节如髋关节和脊柱,其次为肩、膝和指间关节
B可分为原发性和继发性两种类型
C原发性退行性骨关节病是与新陈代谢有关的老年性生理改变,发病年龄多在40岁以上,女性多于男性
D继发性退行性骨关节病是由于外伤、感染、先天畸形等原因所致
E退行性骨关节病是关节软骨发生变性后,继之以邻近软骨增生,骨化及骨质增生、硬化而形成的关节病变
(单选题)关于退行性骨关节病下列哪项是错误的()
A常见于承重的大关节如髋关节和脊柱,其次为肩、膝和指间关节
B可分为原发性和继发性两种类型
C原发性退行性骨关节病是与新陈代谢有关的老年性生理改变,发病年龄多在40岁以上,女性多于男性
D继发性退行性骨关节病是由于外伤、感染、先天畸形等原因所致
E退行性骨关节病是关节软骨发生变性后,继之以邻近软骨增生,骨化及骨质增生、硬化而形成的关节病变
关于退行性骨关节病下列哪项是错误的()
A、常见于承重的大关节如髋关节和脊柱,其次为肩、膝和指间关节
B、可分为原发性和继发性两种类型
C、原发性退行性骨关节病是与新陈代谢有关的老年性生理改变,发病年龄多在40岁以上,女性多于男性
D、继发性退行性骨关节病是由于外伤、感染、先天畸形等原因所致
E、退行性骨关节病是关节软骨发性变性后,继之以邻近软骨增生,骨化及骨质增生、硬化而形成的关节病变
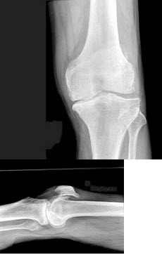
男,76岁,长久站立时左膝关节疼痛,可扪及捏发音,结合图像,最可能的诊断是( )
A、退行性骨关节病
B、畸形性骨炎
C、神经性关节病
D、创伤性关节炎
E、肥大性骨关节病
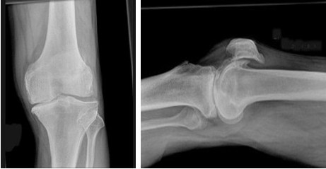
男,76岁,左膝关节长久站立时疼痛,可捫及捏发音,请结合图像,选出最可能的诊断
A、退行性骨关节病
B、畸形性骨炎
C、神经性关节病
D、创伤性关节炎
E、肥大性骨关节病
关于颞下颌关节骨关节病的说法正确的是()
A、在关节表面形成新骨
B、炎症性疾病
C、有原发性和继发性骨关节病两种
D、治疗以手术治疗为主
E、指颞下颌关节组织发生磨损与变质
关于肺癌的副瘤综合征,以下说法正确的是()。
A、杵状指(趾)和肥大性骨关节病是由于长期乏氧导致双下肢及踝部关节肿胀、疼痛,X线片没有骨膜改变,常见于鳞状细胞癌,肿瘤切除后症状减轻或消失
B、杵状指(趾)和肥大性骨关节病是由于长期乏氧导致双下肢及踝部关节肿胀、疼痛,X线片可有骨膜改变,常见于腺癌,肿瘤切除后症状减轻或消失
C、杵状指(趾)和肥大性骨关节病是由于长期乏氧导致双下肢及踝部关节肿胀、疼痛,X线片可有骨膜改变,常见于鳞状细胞癌,肿瘤切除后症状减轻或消失
D、杵状指(趾)和肥大性骨关节病是由于长期乏氧导致双下肢及踝部关节肿胀、疼痛,X线片可有骨膜改变,常见于鳞状细胞癌,肿瘤切除后症状不减轻和消失
E、杵状指(趾)和肥大性骨关节病是由于长期乏氧导致双下肢及踝部关节肿胀、疼痛,X线片没有骨膜改变,常见于腺癌,肿瘤切除后症状减轻或消失
关于肺癌的副瘤综合征,以下说法正确的是()
A、杵状指(趾)和肥大性骨关节病是由于长期乏氧导致双下肢及踝部关节肿胀、疼痛,X线片没有骨膜改变,常见于鳞状细胞癌,肿瘤切除后症状减轻或消失
B、杵状指(趾)和肥大性骨关节病是由于长期乏氧导致双下肢及踝部关节肿胀、疼痛,X线片可有骨膜改变,常见于腺癌,肿瘤切除后症状减轻或消失
C、杵状指(趾)和肥大性骨关节病是由于长期乏氧导致双下肢及踝部关节肿胀、疼痛,X线片可有骨膜改变,常见于鳞状细胞癌,肿瘤切除后症状减轻或消失
D、杵状指(趾)和肥大性骨关节病是由于长期乏氧导致双下肢及踝部关节肿胀、疼痛,X线片可有骨膜改变,常见于鳞状细胞癌,肿瘤切除后症状不减轻和消失
E、杵状指(趾)和肥大性骨关节病是由于长期乏氧导致双下肢及踝部关节肿胀、疼痛,X线片没有骨膜改变,常见于腺癌,肿瘤切除后症状减轻或消失
关于颞下颌关节骨关节病的说法正确的是()
A、在关节表面形成新骨
B、炎症性疾病
C、有原发性和继发性骨关节病两种
D、治疗以手术治疗为主
E、指颞下颌关节组织发生磨损与变质
此题为多项选择题。
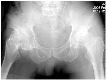
男,60岁,因双髋关节反复疼痛2年余,无明显外伤史,X线摄片如图,最可能的诊断是()
A、双髋关节退行性骨关节病
B、双髋关节创伤性关节炎
C、双髋关节特发性骨关节病
D、双髋关节结核
E、神经性关节炎
男,60岁,因双髋关节反复疼痛2年余,无明显外伤史,X线摄片如图,最可能的诊断是 A.双髋关节退行性骨关节病
B.双髋关节创伤性关节炎
C.双髋关节特发性骨关节病
D.双髋关节结核
E.神经性关节炎
关于肺癌的副瘤综合征,以下说法不正确的是()。
A、内分泌失常多见于小细胞肺癌
B、神经肌肉综合征多见于小细胞肺癌,表现为重症肌无力、小脑运动性失调、眼球震颤及精神改变
C、高钙血症多见于腺癌
D、杵状指(趾)和肥大性骨关节病,常见于鳞状细胞癌
E、杵状指(趾)和肥大性骨关节病,肿瘤切除后症状减轻或消失
属于地方性的疾病()
A、淋病
B、中耳炎
C、森林脑炎
D、矽肺
E、老年骨关节病
缺硒易引起()
A、地甲病
B、大脖子病
C、痛痛病
D、黑脚病
E、大骨关节病
大骨节病是一种以关节软骨变性与坏死为基本病变的地方性骨关节病。
A、对
B、错
肺性肥大性骨关节病的好发部位是 A.长骨骨端
B.长骨皮质
C.扁骨
D.椎体
E.椎弓根
退行性骨关节病早期病变在
A.关节软骨
B.骨组织
C.关节韧带
D.滑膜组织
E.以上都不是