Copyright©(xx.caijingu.com-财经股)All Right Reserved.湘ICP备2024075428号-1
更多相关内容推荐
关于恶性多形性腺瘤的描述,不正确的是( )。
A、肿瘤呈浸润性生长
B、又称癌在多形性腺瘤中
C、只有10%的病例由良性多形性腺瘤癌变所致
D、发生于腮腺者常侵犯面神经
E、肿瘤中可见良性多形性腺瘤结构
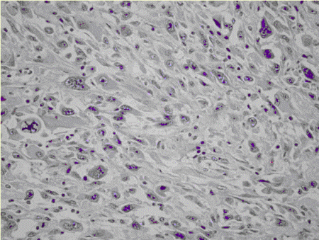
患者男,65岁,左大腿深部占位,切除后,镜下显示为1个多形性恶性肿瘤。最适合的诊断为()。(提示如该多形性肿瘤的镜下形态如下图所示。)
A、未分化多形性肉瘤
B、多形性横纹肌肉瘤
C、多形性平滑肌肉瘤
D、多形性肌成纤维细胞性肉瘤
E、多形性脂肪肉瘤
F、骨肉瘤
关于多形性腺瘤癌变,以下错误的是()
A、又称为癌在多形性腺瘤中
B、发生于腮腺,可侵犯面神经
C、有50%的多形性腺瘤发生恶性转化
D、肿瘤呈浸润性生长
E、肿瘤中可见良性多形性腺瘤结构
转移性多形性腺瘤实质上是()
A、癌在多形性腺瘤中
B、多形性低度恶性腺癌
C、原发肿瘤是多形性腺瘤,转移灶是多形性腺癌
D、原发肿瘤是多形性腺瘤,转移肿瘤也是多形性腺瘤
E、原发肿瘤是癌在多形性腺瘤中,转移灶是多形性腺瘤
患者男,65岁,左大腿深部占位,切除后,镜下显示为1个多形性恶性肿瘤。首先考虑的诊断为()。(提示如该多形性肿瘤的镜下形态如下图所示。)
A、未分化多形性肉瘤
B、多形性横纹肌肉瘤
C、多形性平滑肌肉瘤
D、多形性肌成纤维细胞性肉瘤
E、肉瘤样癌
F、骨肉瘤